Skip to content
BACK to Stories

How a Benign Brain Tumor Reshaped My Life

Published on January 2, 2026 in Share Your Story

Guest Author: Amanda B. in Michigan

I was diagnosed with a meningioma in 2018, but like a lot of people, I didn’t know anything about meningiomas before I heard the words “brain tumor” attached to my name.

It started with these weird headaches. They would come on really strong on the right side of my face and head, and then they’d be gone in about 15 minutes. I have a history of migraines, but these felt different. I went to my doctor, and nothing really came of it. Then I was driving downstate one day, and my vision suddenly went double. I told myself I was just tired. But the next day it happened again. And the next.

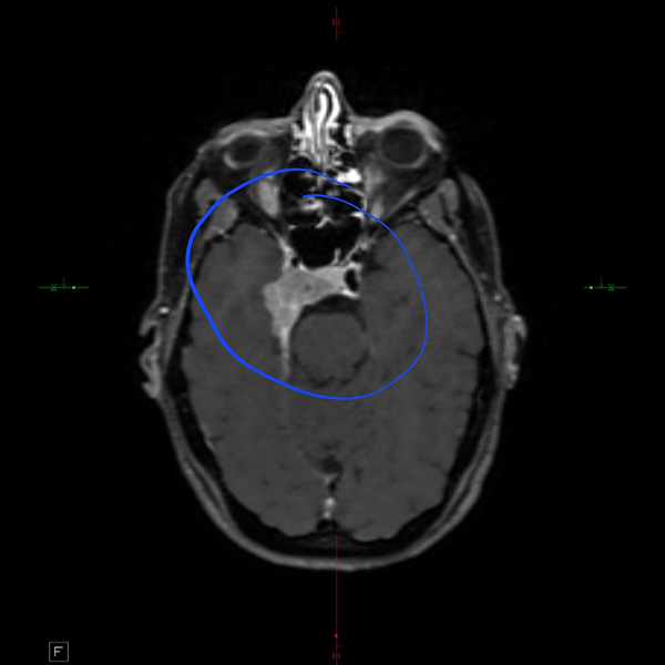
An MRI scan of a brain shows a tumor
Amanda’s scan

I went to the ophthalmologist, and they told me there was nothing structurally wrong with my eyes. A friend of mine works as a nurse in a neurology office, so I asked her to run it by one of the physician assistants or nurse practitioners there. They wanted to see me. An MRI was ordered, and that’s how they found it.

The radiologist said it looked like a meningioma, but they also mentioned sarcoidosis as a possibility. So before anything else, I had a chest X-ray and a lumbar puncture to rule that out. I was a nurse at the time, but I didn’t know anything about meningiomas specifically. Having a medical background helped me ask questions and advocate for myself, but it was also a double-edged sword because I knew what could go wrong.

The meningioma tumor was located in the cavernous sinus, in the circle of Willis. I had never heard of that either. It’s an area where all of your cranial nerves cross, where your carotid artery is — basically a place full of structures that are vital. Neurosurgeons don’t like to operate there.

Treatment for My Brain Tumor

Locally, I didn’t really have treatment options. The neurosurgeon wouldn’t operate because of the location. A radiation oncologist said he’d only consider radiation if it was debulked first. That wasn’t happening. That’s when I was referred to Mayo Clinic in Rochester, Minnesota, which is a six-and-a-half-hour drive from where I live in the Upper Peninsula of Michigan, but closer than the drive to Detroit.

A gray ribbon tattoo on a person's wrist
Amanda’s tattoo

We spent a week at Mayo and met with multiple neurosurgeons and radiation oncologists. Ultimately, they said the same thing. My tumor wasn’t in a location that they wanted to operate on because it was near my cranial nerves and my carotid artery. I wasn’t a candidate for fractionated radiation, but I was one for Gamma Knife radiation (a one-time, high-dose stereotactic radiosurgery).

I went in on a Friday, had the treatment, and then we drove home.

Honestly, the hardest part of Gamma Knife radiation was the halo they screw into your head to keep it from moving. Once you’re on the table, you’re pushed into a machine that’s kind of like an MRI, except it’s quiet. They play music. They talk to you. My actual radiation time was about 62 minutes. Afterward, they unscrew the halo, make sure you can eat and keep food down, and then you go home. I had some headaches and soreness where the halo was attached, took a short steroid pack, and then I felt fantastic. My double vision resolved within a week or two. For four years, I just had regular MRIs.

A Recurrence

In 2022, things changed.

My scans showed growth again. The headaches came back. The double vision came back. By November, the tumor was larger than it had been in 2018. My radiation oncologist at Mayo recommended a six-week course of proton therapy.

I rented an Airbnb within walking distance of the hospital and stayed there the entire six weeks. Different people came to stay with me for a week at a time, which helped. I made sure to do things outside of treatment, such as walking around campus, taking short trips, and trying to feel like a person and not just a patient. 

The radiation itself wasn’t the hard part. I actually felt pretty good during treatment. The hard part came after I got home.

Radiation Side Effects

A woman lies flat with her head strapped to the table by a mask before brain tumor radiation begins

Radiation is made to kill things. And while it was trying to kill the tumor, it also caused swelling in my brain and necrosis in my temporal lobe. I was put on very high doses of dexamethasone. 

I went right back to work. I didn’t slow down. I didn’t give myself time to recover, because my experience in 2018 had been “easy,” and I assumed this would be the same.

It wasn’t.

I developed steroid myopathy and lost a lot of muscle mass in my legs. I had trouble walking and needed physical therapy. I developed cataracts and had surgery at 47 years old. I became immunocompromised. I had terrible rashes. I wasn’t sleeping. I wasn’t myself. I was trying to be a mom, work full-time, and pretend everything was fine when it absolutely wasn’t.

Radiation damaged three of my cranial nerves. I lost vision in my right eye. My eyelid no longer opens, and it never will. There is nothing surgical that can fix it because the nerve won’t regenerate. I’m still trying to come to terms with how I look now and the fact that this is permanent.

I see an endocrinologist in Green Bay because I now have adrenal insufficiency from the high doses of steroids. I’ll be on replacement steroids for the rest of my life.

Benign Is Not Fine

And yet, people still say things like, “At least it’s benign and not cancer,” as if that somehow makes it easier. My treatment was the same treatment someone with brain cancer would receive. The radiation was the same. The recovery was the same. Nothing that doesn’t belong in your brain is good — benign or malignant.

A man and woman stand next to a bell that is rung at the end of radiation. The woman's t-shirt reads, "The Comeback is stronger than the setback."

I’ve also learned how deeply a brain tumor affects every part of your life, including relationships. My husband became very overprotective, which I know comes from love, but it can make you feel like a child when so much independence has already been taken from you. That’s getting better now that I’m driving again and doing more on my own.

The financial impact was enormous. Even with a GoFundMe and community fundraisers, I was still making monthly payments to Mayo two years later. Each Avastin infusion costs $16,000. I considered stopping treatment because of the cost. Swallowing my pride and accepting help was hard, but necessary.

What I’ve learned — sometimes the hard way — is that you have to slow down. You have to let people help. You have to protect your energy. Support groups helped me feel less alone. Medication helped with anxiety. Talking about it helped.

For a long time, I lived like I was waiting for the other shoe to drop. Eventually, I just came to terms with the fact that this is my life. I can’t change it. I still have bad days, but I don’t want to miss my kids growing up. I don’t want to miss my life.

So I take advantage of the time I have. I keep moving forward. And I remind myself that just because something is labeled benign doesn’t mean it isn’t life-changing.

Because it is.

Let’s Talk About Meningioma

Each year, more than 39,000 Americans are diagnosed with meningioma — the most common type of primary brain tumor. Meningiomas originate from cells of the meninges, which are membrane layers that cover and protect the brain and spinal cord.

While often benign, these tumors can still cause serious health issues depending on their size and location. Let’s talk about what makes meningiomas different from other brain tumors and learn more about the experiences people living with this tumor type and their loved ones may face.

Learn More About Meningioma

See All News

TAGGED WITH: meningioma


Opinions expressed within this story belong solely to the author and do not reflect the views or opinions of the National Brain Tumor Society.

Stay Informed & Connected